Reims Champagne-Ardenne University | Centre de Recherche en STIC +33.(0)3.26.91.33.89

Research teams AI4M
Artificial Intelligence for Medicine

Research Themes

L'équipe AI4M (Artificial Intelligence for Medicine) est une équipe pluridisciplinaire, composée d'enseignants-chercheurs en sciences numériques et de personnels hospitalo-universitaires. Le paradigme principal de l’équipe consiste à créer des concepts, méthodes, et outils numériques à même de permettre de répondre à des questions cliniques. En d’autres termes, le but est de mener une recherche pluridisciplinaire à l’interface entre numérique et clinique. Afin d’atteindre cet objectif, l’équipe vise à développer d’une part une recherche fondamentale et méthodologique en intelligence artificielle et en image, indépendamment des aspects applicatifs. De façon symétrique, elle vise d’autre part à développer une recherche clinique de haut niveau liée aux domaines de l’imagerie et de la donnée de santé. Sur la base de ces deux socles, le travail à l’interface vise à répondre à des questions ouvertes liées essentiellement à la complexité croissante des données médicales, qui ouvre des perspectives nouvelles en termes de pratiques cliniques, mais induit des défis qui nécessitent le recours à des approches numériques innovantes.

Les champs d'expertise numérique de l'équipe reposent sur les champs suivants : intelligence artificielle, image, analyse exploratoire de données, observabilité des données, analyse multiéchelle, morphologie mathématique, topologie discrète, filtrage spatio-fréquentiel, analyse dynamique, classification, décision, mesure de similarité, détection de changements, modélisation statistique.

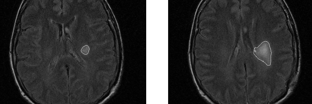
Les champs d'expertise clinique de l'équipe reposent sur les modalités suivantes : imagerie par résonance magnétique (IRM), scanner (TDM), artériographie, imagerie nucléaire (TEP, TEMP), électroencéphalographie (EEG), échographie, imagerie préclinique (synchrotron). Les domaines cliniques privilégiés sont la néonatologie, la cancérologie, la neurologie, la radiologie, l'endocrinologie, l'urologie, l'histopathologie.


Team members

SB

Maître de conférences PH

AB

Chercheur Associé
Assistant Professor

NB

PHD Student
Assistant Professor
Chercheur Associé
Post-Doctorant
Maître de conférences HDR

BD

Professeur PH
Assistant Professor
PHD Student
PHD Student
Professeur PH

CH

PHD Student

JH

Maître de conférences PH
Post-Doctorant
Professeur PH
Post-Doctorant
Post-Doctorant
Professeur PH
Professeur PH
Professor
Assistant Professor

PV

Assistant Professor